血细胞分析技术已经进入自动化时代,而具有白细胞五分类或更多分析参数的仪器也普遍的应用于国内各级医院实验室中,为临床诊断和治疗服务。而具有18项参数带有白细胞三分群功能的血细胞分析仪也已经普及进入到基层医院和社区医疗中心,在许多大型医院中已不占主流位置,因此可以说目前在较大医院的检验科,常规血细胞分析仪已经进入全自动化和白细胞五分类的时代。
本文主要介绍全自动血细胞分析仪在白细胞五分类上的原理和散点图分布特点。此类仪器在红细胞、血红蛋白、血小板和计算参数上一般会采用类似的测定原理和计算方法,此类仪器的进展和其功能特点可参考作者撰写的其它文章(见参考文献)。具有白细胞五分类功能的血细胞分析仪器是指通过各种物理和化学技术对白细胞进行分析,以获得外周血液中白细胞的五种常见类型,嗜中性粒细胞,嗜酸性粒细胞,嗜碱性粒细胞,淋巴细胞和单核细胞的百分率和绝对值的测定结果,此外还应该具有对出现异常白细胞的提示或初步分类功能。
目前国内外具有开发研制白细胞五分类法仪器的主要为欧美和日本生产厂商,比较著名的欧美厂家有Beckman-Coulter;ABBOTT;Siemens(Bayer);ABX;日本有Sysmex和Nihon Kohdon。在国内已经有迈瑞(MINDRAY)公司生产几个型号的五分类血细胞分析仪器投入医疗市场。
一 简要发展史
1974年,一种名为HEMALOG D的具有初步白细胞分类功能的白细胞分析仪问世。
1982年,Technicon公司生产了H6000型血液细胞分析仪器,应该是首款具有白细胞五分类能力的仪器。同时代日本日立公司推出图像分析法的白细胞分析仪HITACHI 8200型,仅仅是用于完成白细胞血片分类的仪器,没有其他血细胞计数分析能力。
Technicon 公司1985 年开发了比较成熟的具有白细胞五分类功能的Technicon H1 型血液细胞分析仪,随后升级为H2型和H3型。
COULTER公司在1987 年开发研制其经典VCS技术,并推出持续具有多年影响力的、具有白细胞五分类功能的血液细胞分析仪MAXM 型。
1990年前后,欧洲和日本许多厂家都陆续推出了各种类型的具有白细胞五分类功能的血细胞分析仪器。各厂家设计生产的此类血细胞分析仪,其在白细胞分类技术上原理各不相同,分析测定项目略有不同,且形式多样,结构复杂,试剂种类和成分也趋于复杂。不断改进和升级的新产品使得仪器在白细胞分类技术上更加成熟和可靠。而技术的提高也带来了仪器和消耗品(试剂)价格的增加。
二 仪器原理和散点图特点
1 体积、电导和激光散射原理
这是Beckman-Coulter公司生产的血细胞分析仪所采用的经典分析方法,他集三种物理学检测技术于一体,在细胞处于自然原始的状态下对其进行多参数分析。该方法也称为体积、电导、激光散射血细胞分析法。此技术采用在标本中首先加入红细胞溶血剂溶解掉红细胞,然后加入稳定剂来中和红细胞溶解剂的作用,使白细胞表面、胞浆和细胞体积保持稳定不变。然后应用鞘流技术将细胞推进到流动细胞计数池(Flowcell)中,接受仪器VCS三种技术的检测。
V代表体积(Volume)测量法,是采用经典的库尔特专利技术,用低频电流准确分析细胞体积。体积是区分白细胞亚群的一个重要的参数,它可有效区分体积大小差异显著的淋巴细胞和单核细胞。C代表高频电导性(Conductivity),采用高频电磁探针原理测量细胞内部结构间的差异,也是该公司的专利技术。细胞膜对高频电流具有传导性,当电流通过细胞时,细胞核的化学组份可使电流的传导性产生变化,其变化量可以反映出细胞内含物的信息。该参数可用来区分体积相近而内部性质不同的细胞群体,如淋巴细胞和嗜碱性粒细胞,由于它们的细胞核特性不同而在传导性参数上有所区别。S代表激光散射(Scatter)测量技术,采用氦氖激光源发出的单色激光扫描每个细胞,收集细胞在10°~70°角度内出现的散射光 (MALS)信号。该激光束可穿透细胞,探测细胞内核分叶状况和胞浆中的颗粒情况,提供有关细胞颗粒性的信息,可以区分出颗粒特性不同的细胞群体。例如细胞内颗粒粗的要比颗粒细的散射光更强,因此可以用于区分粒细胞中的嗜中性、嗜酸性和嗜碱性三种细胞。

图1 VCS法的测定原理
仪器将分析每个细胞在V、C、S 三种检测技术上的测量结果,因为不同类别的细胞会在体积、表面特征、内部结构等方面呈现明显的不同。将这些特征性信息被定义到以VCS为三维坐标(分辨率为256×256×256=16,777,216)所形成的立体散点图中,这五类细胞可在三维空间中形成特定的细胞群。通过计算某群细胞数量占白细胞总数的百分比,即可得到五项白细胞分类结果。仪器不仅仅做出对正常白细胞的五项分类结果,给出典型的散点图型,还可以提示许多异常细胞区域的报警。
VCS技术可通过DF1、DF2、DF3三个散点图将五种类型白细胞明显区分开。三个散点图的纵坐标均定义为细胞体积。DF1为细胞体积和激光散射的直方图,DF2和DF3为细胞体积和高频电导性的直方图,DF3为除去粒细胞群体后显示出淋巴细胞后面的嗜碱性粒细胞图像。

图2 各类白细胞在VCS三维空间中的分布特点

图3 各类白细胞在散点图中的分布特点
VCS技术是Beckman-Coulter公司开发研制的经典专有方法,到目前为止的各种高档血细胞分析仪均采用该方法对白细胞进行分析。该方法在白细胞分析上尚有特殊能力,例如可以测定和分析中性粒细胞的体积、核浆比例、细胞颗粒特性等参数,也就是将中性粒细胞的VCS三个参数分别给出,用于了解细菌感性疾病与其它疾病的区别。也可对淋巴细胞、单核细胞等均作出其细胞群体的三个技术参数值,是比较有前景的研究内容。
仪器在RBC、PLT、WBC计数上依然采用电阻抗法,血红蛋白仍然采用比色法测定。该公司的五分类法血细胞分析仪先后推出多种类型,如MAXM、STKS、GEN·S、HmX、LH755和最新的LH780等型号,在某些机型还具有网织红细胞分析功能和T淋巴细胞亚群分析功能。
2. 电阻抗、射频和细胞化学技术
日本Sysmex公司系列血细胞分析仪是在国内应用非常广泛的仪器,从三分类法到五分类法的各种型号仪器都有大量用户。其仪器型号种类丰富,功能和测定参数各异,其各种仪器间均有近似的检测原理,但在结合特定的功能以达到不同的分析目的方面,其原理和所用试剂又有不完全相同之处。本文以目前其最高配置的XE-2100型血细胞分析仪为例说明其在白细胞计数和分类方面的原理和特点。
Sysmex XE-2100在白细胞分类上采用半导体激光流式细胞技术结合核酸荧光染色技术进行白细胞计数和分类。半导体激光照射在通过鞘流技术处理的细胞上,可根据每个细胞所产生的三种信号来鉴别细胞类别。前向散射光(FSC)信号可反应细胞体积大小;侧向散射光(SSC)信号可反应细胞的颗粒和细胞核等内含物的信息;侧向荧光(SFL)强度信号则用于分析细胞内脱氧核糖核酸(DNA)和核糖核酸(RNA)的含量。
在白细胞分析上主要采用两个通道进行细胞计数和分类,两个通道均采用激光和鞘流进样的方式测定。DIFF通道: STROMATOLYSER-4DL试剂中的表面活性剂可以溶解掉标本中的红细胞和血小板,并在白细胞膜上打出小孔;然后第二种试剂 STROMATOLYSER-4DS中的聚次甲基染料通过这个小孔进入白细胞中,与细胞核的核酸和细胞器结合,在经过波长633nm的激光照射,产生的荧光强度与细胞的核酸含量成正比。STROMATOLYSER -4DL试剂还具有与嗜酸性颗粒特异性结合的能力,可根据侧向散射光信号强度,将嗜酸性粒细胞从中性粒细胞中分离出来。这样可以将中性粒细胞、嗜酸性粒细胞、单核细胞、淋巴细胞清楚的分离开。在DIFF散射图当中可以得到白细胞的四个分群(LMNE)。
WBC/BASO通道是专用作检测嗜碱性粒细胞的通道,因为嗜碱性粒细胞数量非常少,因此必须采用特殊技术处理。STROMATOLYSER –FB是一种酸性试剂,可将红细胞和血小板形成淡影化,将除嗜碱性粒细胞以外的白细胞处理成裸核形态,然后采用前向散射光(FSC)信号和侧向散射光(SSC)信号使嗜碱性粒细胞从其它细胞中分离出来。前向散射光与细胞体积测定相关,侧向散射光与裸核后的细胞结构复杂性有关。在这个通道中可以获得白细胞总数和嗜碱性粒细胞的数量。

图4 Sysmex XE-2100白细胞分类散点图
仪器在幼稚粒细胞分析上有特殊的IMI通道,在IMI检测通道中主要应用射频(RF)技术和直流电阻抗法(DC)。这个测定通道根据幼稚细胞膜表面比成熟细胞膜表面含有脂质少的现象,在稀释液中加入硫化氨基酸(IM试剂),由于占位不同,结合在幼稚细胞表面的氨基酸较多,对溶血剂有抵抗作用,对幼稚细胞具有保护作用。当加入溶血剂后成熟细胞易被溶解掉,而幼稚细胞不易被溶解破坏,可通过电阻法检测出来。射频技术用于测量细胞核的大小和颗粒的多少,而直流电信号可反应出细胞体积的大小。
在有核红细胞计数上通过专门的有核红细胞检测程序和专用通道-NRBC通道,在处理标本时加入STROMATOLYSER-NR专用试剂,它能使成熟红细胞溶解又可保持有核红细胞的核结构,同时也将白细胞保持完好。STROMATOLYSER-NR试剂中的聚次甲基荧光染料可渗透进入白细胞膜内,将白细胞和有核红细胞的核染色。通过检测荧光强度得到:白细胞核大荧光强度高,有核红细胞核小,荧光强度低,正常红细胞无细胞核和破碎,荧光强度极低。根据荧光强度差和前向散射光信号测定的细胞体积差,可将有核红细胞从其他细胞群中区分出来。

图5 Sysmex XE-2100 的幼稚细胞通道和有核红细胞通道散点图
该仪器在红细胞和血小板的计数和分析上仍然沿用了经典的电阻抗方法,在血红蛋白测定上采用了无剧毒物质的SLS溶血剂比色法。
3 激光散射和细胞化学染色技术
最早采用该技术的是Technicon公司的H1,H3型,现在的最新型为西门子公司的Advia120型和2120型(2007年以前为Bayer公司产品)。他是一款开发比较早的高等级仪器,其在白细胞分类上采用了过氧化酶测定通道和嗜碱粒细胞测定通道。根据细胞化学染色的特性进行白细胞分类。在红细胞和血小板分析都采用了双角度激光法。在仪器的管路、电磁阀门、反应杯上采用了独特设计的集成液流版管路系统,是目前血细胞分析仪中所独有和特有的技术。
集成液流板实际上是将各种管路和电磁阀门、反应杯等血球计数仪的常用硬件进行综合处理,系统化,微小化,透明化和集成化。形成的集成板被放置在仪器的明显部位,方便观察,并具一定的美观效果。其另一特点则是细小的管路和反应杯可是标本和试剂用量明显减少。

图6 Advia 120的集成液流板。
在白细胞分类上,该仪器采用两个通道进行,一个为过氧化酶检测通道,另一个为嗜碱细胞检测通道。
过氧化酶反应(peroxidase,POX)是血涂片染色的一个常用细胞化学染色方法,用于鉴别原始细胞与成熟的粒细胞,鉴别粒细胞与非粒细胞。染色后的细胞内无蓝黑色颗粒出现为阴性反应,出现细小颗粒或稀疏样分布的黑色颗粒为弱阳性反应,出现黑色粗大而密集的颗粒为强阳性反应。过氧化物酶主要存在于粒细胞系和单核细胞系中,各类白细胞对过氧化物酶的反应是这样的:早期的原始粒细胞为阴性,早幼粒以后的各阶段都含有过氧化物酶,并随着细胞的成熟过氧化酶含量逐渐增强,中性分叶核粒细胞会出现强阳性反应,嗜酸性粒细胞具有最强的过氧化物酶反应,嗜碱粒细胞不含此酶呈阴性反应。在单核细胞系统,除早期原始阶段外,幼稚单核和单核细胞会出现较弱的过氧化物酶反应。淋巴细胞、幼稚红细胞、巨核细胞等都为过氧化物酶阴性反应。Advia 120/2120血细胞分析仪的过氧化酶(Perox)检测通道就是根据这个原理设计的,它检测每一个通过流动计数池中的白细胞,经过激光照射所产生的过氧化酶散射光吸收率,来当然试剂和辅助试剂均进行了改良。
在Perox通道所产生的散点图,横轴表示在5°-15°激光散射获得的细胞过氧化物酶含量情况,纵轴是低角度散射光测量的细胞体积大小。在此通道内细胞被分为五类。1)过氧化酶最强阳性的嗜酸性粒细胞;2)过氧化酶强阳性的嗜中性分叶核粒细胞;3)体积较大、过氧化酶弱阳性的单核细胞;4)体积较小、过氧化物酶阴性的淋巴细胞;5)体积大于淋巴细胞且过氧化物酶阴性的未染色大细胞,此类细胞增加提示幼稚或原始的各类细胞可能出现。
在嗜碱细胞(Baso)通道中采用的检测原理是:专用的嗜碱细胞试剂(Baso)将除了嗜碱细胞以外的白细胞除去细胞膜,使其裸核化并体积变小,仅将嗜碱性粒细胞保持原有状态,体积明显大于其他类的白细胞。在散点图上处于上面区域的为嗜碱性粒细胞;散点图的横坐标可表示细胞核结构的复杂性,处于左侧的为单个核的细胞群,包括单核细胞和淋巴细胞;处于右侧的为分叶核细胞;中间部位则考虑为杆状核细胞;左下端为单个核的原始细胞区。

图7:ADVIA 120/2120仪器Perox通道和Baso通道散点图
该仪器在红细胞、血小板的测定上也采用了光学检测技术。通过激光照射扫描每个通过Flowcell的红细胞,低角度散射光(2 °~3 °)用于测量细胞体积;高角度(5°~15°)散射光测量每个红细胞内的血红蛋白浓度(CH)和血红蛋白含量平均值CHCM。这两个值不受红细胞数量和血红蛋白测定的影响。还可根据每个红细胞内血红蛋白浓度,计算出红细胞内血红蛋白分布宽度(HDW)值。其根据红细胞在体积大小和单个红细胞内血红蛋白含量的分析,将红细胞划分为9个区域,得到红细胞体积和色素含量分布的九分图,也是该仪器在红细胞分析方面独有的特色,根据红细胞分布情况可初步判断疾病类别(下图中)。在血小板计数分析上也同样采用了二维光散射分析法,即可获得血小板体积大小,可测量1~60fl内的各种大小不同的血小板,还可对血小板内容物含量(MPC)进行测定。血红蛋白测定采用连续流动比色法和红细胞散射光直接测定法两种方法,有助于高脂血和高胆红素血标本的血红蛋白测定准确性。

图8:ADVIA 120/2120 红细胞散点图
4 双鞘流技术和细胞化学染色法
ABX是法国生成血细胞分析仪器的著名厂家,其生产的全自动血细胞分析仪Pentra 120型为其高端产品。在白细胞分类上采用该公司特有的专利技术-双鞘流(DHSS)分析法。双鞘流是专利技术,而测定本身是通过电阻抗和光吸收法双重原理。标本首先在第一鞘流液中经过电阻抗测定分析,得到细胞体积测定结果,然后通过第二鞘流引导再行光吸收率分析,对细胞内容物进行测定,最终将细胞测定信息在散射图相应的位置表现出来。双鞘流技术的核心部件是含有红宝石小孔的复杂的鞘流池,在双鞘流系统的上下两端分别加上恒定电流,是保证电阻法的测量要素。为了保证被检测的细胞能够正确通过计数孔和鞘流通道,需要利用外来鞘流来进行矫正,因此通过左侧鞘流泵注入稀释液形成第一鞘流液,其作用是保护溶液能够直接通过计数小孔,并且保证其中携带的细胞处于中心部位,液流不发生偏移和扭曲;溶液通过计数小孔后,再通过中间鞘流泵注入稀释液形成第二股鞘流,用以保证吸光度测量。这样的过程被称为双鞘流分析技术。

图9 双鞘流技术示意图
仪器通过两个通道来完成白细胞的五项分类。其采用的细胞化学染色技术(Cytochemistry)的原理是经典的细胞分类技术,此染色剂中含有溶血素及氯唑黑活体染料(Chlorazol Black E)。在仪器的LMNE检测池中,全血样品与染色剂充分混匀,在35℃条件下进行孵育,此过程的作用是:① 溶解红细胞 ②对单核细胞的初级颗粒、嗜酸性粒细胞和中性粒细胞的特异颗粒进行不同程度的染色,同时对细胞的膜(细胞膜、核膜、颗粒膜)也进行不同程度的着色 ③ 固定细胞的形态,使其保持自然状态。由于淋巴细胞、单核细胞、中性粒细胞和嗜酸性粒细胞对染色剂的着色程度不同、每种细胞特定的细胞核形态和颗粒的结构造成光散射的强度不同,产生了特定的吸光率。
染色后的标本被引导进入鞘流池进行双鞘流分析,首先经过60mm红宝石小孔进行电阻法分析,用于判断细胞体积大小,在LMNE散点图上的横坐标即可表示出细胞大小的特性。然后样本迅速进入直径为42mm的第二鞘流检测通道进行光吸收率测定,以判断细胞形态和内容物等情况。根据每类细胞在这两个分析参数上所表现出来的特性,形成二维分布的散点图。在此通道内可完成白细胞中淋巴细胞、单核细胞、中性粒细胞和嗜酸细胞群的分类。此通道内在分析的同时还能够检测两群异常白细胞亚群:巨大未成熟细胞(LIC)百分比及绝对值,异型淋巴细胞(ALY)百分比及绝对值,同时还可提供多达82种提示和报警信息。
在LMNE散点图上,各类白细胞的特点是:①淋巴细胞:典型的淋巴细胞体积较小、形态规则、胞浆内没有颗粒,其吸光率最低,所以定位在散点图的右下部矩阵中,正常淋巴细胞散点图为正态体积分布。②单核细胞:典型的单核细胞体积较大、肾状核、胞浆内有初级颗粒(几乎不着色),细胞核大且不分叶,光散射较少,所以位于吸光率轴的最下端,依据单核细胞的体积,位于体积轴的最右端,而异常单核细胞及特大单核细胞则可能出现在LIC的矩阵中。③中性粒细胞:典型的中性粒细胞具有嗜中性颗粒及分叶核的结构,中性颗粒部分着色,同时由于颗粒及核的分叶等形态上的复杂性,而产生光散射。所以中性粒细胞群散点图位于中部。核分叶越多的中性粒细胞,吸光性越强,在散点图上的位置向右移。同时杆状细胞(Bands)体积与中性粒细胞接近,但核的复杂程度低,吸光率低,散点图位于中性粒细胞与单核细胞之间。④嗜酸性粒细胞:由于嗜酸性粒细胞含有特异性颗粒,与染色液特异性着色,其着色强度最深,位于Y-轴的最上端,此方法提高了嗜酸性粒细胞的分类的准确性。⑤巨大未成熟细胞(Large Immature Cell):未成熟粒细胞因其体积较大,可含有颗粒,光散射强,位于嗜中性粒细胞散点图的右侧,在LIC矩阵图中从左到右依次排列晚幼粒、中幼粒、早幼粒细胞,另外各种原始细胞位于单核细胞的右侧区域中。由于此散点图中可能有大单核细胞,可引起LIC假性计数增加(LIC的计数结果被计算到在嗜中性粒细胞中)。LIC包括:大单核细胞、高嗜碱性的单核细胞、巨大中性粒细胞、早幼粒细胞、中幼粒细胞、晚幼粒细胞、原始细胞。⑥异型淋巴细胞(Atypical Lymphs):在散点图中位于淋巴细胞与单核细胞之间的一群细胞,包括:小原始粒细胞、大淋巴细胞等。
在WBC/BASO检测池中,全血样品与BasolyseII(PH2.4)溶血素混合,在35°C恒温下,溶解红细胞,由于嗜碱性粒细胞具有抗酸性,能够保持形态完整,而其他白细胞胞浆溢出,成为裸核状态。细胞通过一个直径为80mm的鞘流微孔时,根据电阻抗原理进行测定,以细胞体积大小为横坐标绘制WBC/BASO直方图。依据阈值设定区分裸核化的白细胞与嗜碱性粒细胞。在直方图上可以看出在中心界标左侧的是细胞体积变小的其它细胞群,界标右侧是体积较大的嗜碱性粒细胞。因嗜碱性粒细胞数量极少,因此在直方图上基本见不到明显分布曲线和峰。

图10 ABX血细胞分析仪LMNE散点图和BASO直方图
红细胞和血小板仍然采用电阻抗原理测定,血红蛋白采用比色法。此为在软件系统中采用了浮动界标技术用于血小板计数及嗜碱细胞计数,直方图的界标会依据细胞群的变化做出相应的自动调整。血小板计数上还采用了防返流装置,目的为防止涡流现象对血小板计数产生影响。在白细胞计数过程中还采用了白细胞平衡检测原理(WBC Count Balance),使得白细胞计数在WBC/HGB通道中与LMNE双鞘流池计数结果相联系,如果出现较大差别则可进行报警提示。
最近该厂推出新一代ABX Pentra DX120型血细胞分析仪,其测定原理仍然采用双鞘流技术。采用新技术扩展了散点图分布范围,形成可对血液中未成熟的粒细胞、单核细胞和淋巴细胞共20个参数的分类或提示性报告信息,这对异常血细胞的筛检提供了很大帮助。

图11 Pentra DX120型幼稚细胞散点图
5 多角度偏振光激光散射技术
美国雅培公司(ABBOTT)推出的血细胞分析仪,在白细胞分类中采用独特的多角度偏振光散射(MAPSS)技术,其所生产的血细胞计数仪从CELL-DYN 3000,3200,3500,3700,4000,以及Sapphire(蓝宝石),在白细胞分类上均采用了MAPSS技术。该技术基本原理是细胞在激光束的照射下,在多个角度都产生散射光,仪器在四个角度的四个检测器将接收到的相应的散射光信号,然后经过微处理器分析处理,将各类细胞安置在散点图上的相应位置,并计算出白细胞分类结果。
多角度偏振光散射白细胞分类技术(Multi—Angle Polatised Scatter Separation of white cell,MAPSS)其原理是一定体积的全血标本用鞘流液按适当比例稀释。其白细胞内部结构近似于自然状态,因嗜碱性粒细胞颗粒具有吸湿的特性,所以嗜碱性粒细胞的结构有轻微改变。红细胞内部的渗透压高于鞘液渗透压而发生改变,红细胞内的血红蛋白从细胞内游离出来,而鞘液内的水分进入红细胞中,细胞膜的结构仍然完整,但此时的红细胞折光指数与鞘液的相同,故红细胞不干扰白细胞检测。在鞘流系统的作用下,样本被集中为一个直径30μm的小股液流,该液流将稀释的血细胞单个排列,然后通过激光束,激光照射于细胞上,在各个方向都有其散射光出现。0°为前向角散射(1°~3°)光,可粗略地测定细胞大小;②10°为狭角散射光(7°~11°),可测细胞结构及其复杂性的相对特征;③90°为消偏振光散射(70°`~110°),基于颗粒可以将垂直角度的偏振激光消偏振的特性,将嗜酸细胞从中性粒细胞和其它细胞中分离出来。④90°垂直光散射(70°~110°),主要对细胞内部颗粒和细胞成分进行测量。这四个角度同时对单个白细胞进行测量和分析后,即可将白细胞划分为嗜酸性粒细胞、中性粒细胞、嗜碱性粒细胞、淋巴细胞和单核细胞5种。ABBOTT的五分类法定量很有意思,不用传统的体积定量,而是采用数量定量,每次计数时完成10000个细胞测定即停止。

图12 MAPSS测定原理示意图
该类型仪器除了基本的白细胞五分类外,还提供了其它异常白细胞的信息和报警,提供给检验者参考,以通过人工显微镜检查复核这些结果,例如异常淋巴细胞、原始细胞、未成熟粒细胞、杆状核中性粒细胞。

图13 ABBOTT CELL-DYN五分类血细胞分析仪各类白细胞在散射图上的分布图
6 激光散射技术
日本光电公司是开发和生产五分类血细胞分析仪的厂家之一,目前所知仅有两款类型的仪器投入市场,均采用相同的测定原理,型号是MEK-7222和MEK-8222。其WBC、RBC和PLT计数原理采用电阻法,白细胞分类测定采用鞘流技术和激光散射原理。在鞘流液中白细胞通过管路进入鞘流池内,激光照射白细胞后发生的各种散射光,根据血细胞的体积、血细胞的复杂性(有无颗粒、核的构造等)的不同,散射光的强度和方向有所不同。激光直进方向和同方向小角度的散射光(表示Size)、激光直进方向和同方向大角度的散射光(表示Complexity)、与激光直进方向相对垂直的方向的散射光(表示Granularity)为参数的作为散点图,对淋巴细胞、单核细胞、嗜中性白细胞、嗜酸性粒细胞、嗜碱性粒细胞进行分类。Size表示血细胞的大小、Complexity表示白细胞结构的复杂度、Granularity表示白细胞颗粒的程度。采用此原理可提供了三个散射图,MAIN散点图、 NE-EO散点图 和MO-BA散点图。在MAIN散点图上(大图部分)下面散点表示淋巴细胞群,右侧为粒细胞群;两个小图,NE-EO为中性粒细胞和嗜酸性粒细胞散点图,MO-BA为单核细胞和嗜碱性粒细胞细胞散点图。此外仪器还能给出大的不成熟细胞(LIC)提示信息。

图14 日本光电MEK7222型五分类血细胞分析仪散点图
7 迈瑞激光散射和细胞化学染色技术
迈瑞(MINDRAY)公司是国内最早有能力生产五分类血细胞分析仪的厂家,他们目前生产有三种型号的五分类血细胞分析仪。BC-5500,BC5380和BC5300型自动五分类血液细胞分析仪,采用半导体激光散射技术和细胞化学染色技术,配合改良的流式分析装置对白细胞进行精确的五分类分析。BC-5500型为目前最高配置,可选择使用静脉血或预稀释末梢血,均能获得良好的各种细胞计数结果和白细胞五分类结果。可提供27项计数和计算参数、2个散点图和2个直方图以及异常报警信息。测定速度为80个标本/小时(配自动进样器),全中文的操作界面,操作及提示功能一目了然,具有大型彩色TFT触摸屏,操作简单方便。
鞘流技术是所有高档血细胞分析仪均采用的细胞进样技术,为了达到更高的液流速度压力差和更稳定的液体流动,该公司独创性地采用了二次加速鞘流技术,分级实现鞘液的第二次加速,增加了单位时间内细胞的通过流量,从而能够完成对预稀释血液进行白细胞五分类分析。
仪器通过两个通道完成白细胞分类测定。在DIFF通道中增加了利用了可对嗜酸性粒细胞进行染色的特殊试剂。激光散射分析技术是五分类法常用的分析技术,由于细胞的物理特性,当激光照射到细胞时,会有不同角度的散射光出现。低角度(1°~5°)散射光可反映细胞体积大小信息;中高角度(10°~20°)散射光可反映细胞颗粒的复杂性信息。综合这两个角度散射光的信息,结合其他特殊技术来完成白细胞的五分类测定。标本在鞘流的带动下进入仪器的检测区域后,激光照射于细胞之上所发射出的低角度和中高角度散射光信号可表现出细胞大小和内容物复杂程度(包括细胞内颗粒等)的特性信息,经仪器检测分析,将其分布在一个二维空间的散点图中,可区分淋巴细胞、单核细胞、中性粒细胞和嗜酸性粒细胞。而化学染色技术可进一步实现对嗜酸性粒细胞的准确判定。
在WBC/BASO通道中通过强溶型试剂和特异性染色技术,可保留完整的嗜碱性粒细胞,并对其进行特异性修饰,同时破坏其它四类白细胞,使之形成膜包核状态,在激光的照射下同样形成两个角度的散射光,完整的嗜碱性粒细胞体积偏大,其他类别白细胞体积变小,通过激光信号的强弱来计数嗜碱性粒细胞并在该通道中计数白细胞总数。该方法可以有效排除难溶性红细胞、巨大血小板、血小板聚集及其它非细胞颗粒等因素对计数的影响,保证嗜碱性粒细胞及WBC总数的精确分类和计数。

图15 迈瑞五分类血细胞分析仪散点图特征
三 图像分析法白细胞分类仪器
文章开始部分已经提到在1982年日本日立公司生产的8200型白细胞图像分析系统,应该是此类仪器的原始机型。而作者在1984年也曾经参与过中科院某研究所的一个关于血细胞形态特征数字化的研究工作,其目的是将5类白细胞基本信息在显微镜下扫描后形成数据模型,可惜这项工作因为当时技术条件的限制而没有取得预想的结果。
近年来瑞典CellaVision AB公司开发出一种新型自动影像血细胞形态分析系统CellaVision已经投入临床应用,该产品2005年3月在欧洲开始投放市场,已经有许多实验室配备了该系统,用于进行血涂片的过筛检查,该产品2007年进入中国市场,正处于推广中。该系统目前有两款机型,CellaVision DM96和CellaVision DM8。该系统是以染色后的血涂片为标本,以最接近传统显微镜观察法的技术对血液中的白细胞、红细胞进行初步分类的仪器,该仪器采用先进的人工智能神经网络系统和全自动的操作程序,可使血细胞形态学检验在自动化、标准化、智能化方面达到一定的目的和水准,在强调形态学检验重要性的背景下有良好的发展前景。

图 16 检验医师在Cellavision显示屏前审查白细胞分类结果
该仪器的组成可分为五大部分
1 血片自动传输系统 将染色后的标准血涂片放在片盒内。该系统不具染色功能,需先将血片用瑞氏或瑞氏-姬姆萨染液染色。血片可按照顺序被仪器传输系统传送到显微镜载物台上。
2 血片自动传输系统 将血片从片盒内取出并通过扫描条码记录标本编号,然后将标本送到自动显微镜的载物台上。
3 自动加油系统 自动吸取适量的显微镜油,滴加到血涂片适当的位置,用于油镜头下的细胞观察和分类。其感应器能提示加油的状态和加油的量。
4 自动血涂片扫描系统 包括一台具有物镜头自动转换、血涂片可三维方向移动的自动显微镜和一台具有自动调焦能力的数码照相机。物镜头可根据要求自动转换×10、×40、×100倍镜头;载物台可水平上下左右移动,并可按照Z字型路线移动血片,供照相机摄取不同部位的细胞形态图像。
5 数据光电转换系统 数码相机拍摄后的数字图像信息,将光学信号转变成数字信号,然后对每个视野下的图像进行分析,辨识单细胞层,白细胞定位点,从而为软件系统的白细胞分类提供源数据。
仪器分析原理:首先在×10倍物镜头下搜索单细胞层,转换×40倍物镜头后拍摄红细胞图像,再转换×100倍油镜头后,在镜油加入后,在单细胞层扫描拍摄有核的白细胞,其所搜寻拍摄的白细胞数量可自行定义。获得细胞数码图像后,通过软件系统提取细胞特征,例如红细胞,需提取红细胞直径、颜色、色素含量、对比度等特征性信息;白细胞需提取白细胞形状、大小、纹理、颜色、空隙、细胞核和细胞质比例关系等360个信息参数。将所提取的特征信息转化为数字信号,然后通过人工智能神经网络系统(ANN)进行形态学分析。这种人工神经网络系统是根据大型细胞数据库进行制作的。

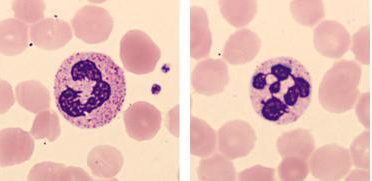
图17 Cellavision拍摄的中性粒细胞图片

图18 Cellavision拍摄的中性杆状核粒细胞、嗜酸粒细胞、淋巴细胞和幼稚细胞图片
仪器显示屏上可提供白细胞分类的结果和分割成单细胞的图片,在一般情况下操作者只需要确认分类结果,以及侧重于那些处于边缘的细胞分类即可。对仪器不能确认的细胞,可通过屏幕调出,放大观察,再确认类别。操作者还可建立自己的参考细胞图库,并可对细胞形态和报告添加备注。系统还可与血细胞分析仪连接,获取血细胞计数的结果,形成血细胞自动化分析 形态学报告的更加完美的结果。该系统可给出白细胞17个类别,除了五分类结果外,还有早幼粒细胞、晚幼粒细胞、原始细胞、异型淋巴细胞等类别;红细胞分析上可得到大小不均、小型红细胞、巨红细胞、低色素红细胞、多色性红细胞、异型红细胞等信息;在血小板上可观察到血小板聚集情况,以及根据图像中血小板数量判断核实血小板数量,与血细胞分析仪计数的血小板数量相互比对核实。可形成带有白细胞分类图的结果报告。
仪器涂片和染色可通过手工方式操作,但需要较好的技术水平,薄血片,并有一定数量的单细胞层,染色颜色保持稳定。也可配置自动涂片和自动染色机完成血涂片的前期预备性工作。该仪器可与全自动血细胞分析仪测定数据进行连接,可以将具有形态学特点的分类结果与仪器分析结果进行合并,得到更加可靠的血细胞分析数据。
小结:本文从全自动五分类式血细胞分析仪谈起,主要介绍各种品牌和代表类型的仪器在白细胞分析和分类上的不同原理和散点图特征,这些仪器应该是目前国内在应用五分类血细胞分析仪上有代表性的仪器。文中材料来自教材、图书、文献报道和厂家宣传资料。如有不妥或错误请大家指正。